誤信流言 延醫輸卵管閉塞可致不孕
編輯: Chanel Chan
日期: 2013-05-20
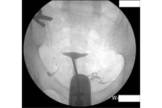
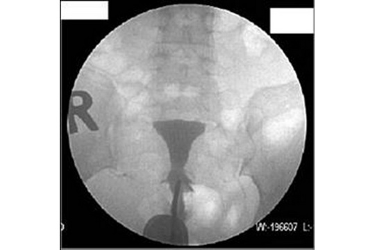
相信不少準備孕育下一代的夫妻都曾聽說過:一對夫婦若有正常性生活超過1年而未能自然成孕,已可界定為不育。但大家可知道不育的常見成因有哪一些?原來有3成不孕個案是由女方輸卵管阻塞造成;有2成是排卵障礙,如月經不正常、排卵不順甚或不排卵;另外3成則是男方精子稀少、活動力不佳等問題。就輸卵管阻塞問題,曾有女生從網上聽說輸卵管攝影會很痛,於是逃避就診,殊不知一些不孕婦女只需經由輸卵管攝影檢查,就能疏通輕微阻塞,解決多年不孕的困擾,成功得子。因此不孕夫妻應及早勇敢就醫。
撰文:婦產科專科醫生陳億仕醫生
20200次閱讀
