慢性咽炎 | 中醫剖析慢性咽炎成因、症狀、診治及治療
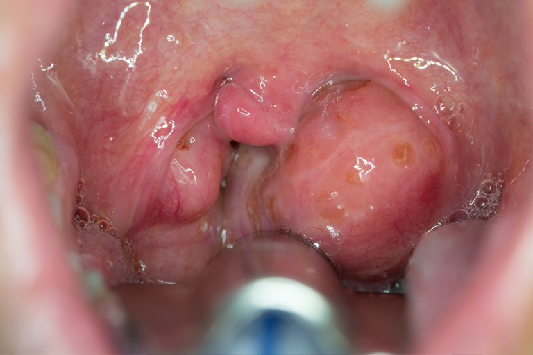
慢性咽炎是個十分常見的都市病,正確名稱是慢性單純性咽炎,典型病徵是口乾、喉嚨乾涸、輕微喉嚨痛、喉嚨痕癢、咽喉灼熱感覺、喉部有異物感、聲沙、常常覺得有稠厚帶黏性的痰涎黏在喉部,使人頻頻清嗓十分不舒服。慢性咽炎的症狀時重時輕 ,反覆發作,在受涼、疲勞、休息不足、經常用嗓,或當空氣污濁、吸煙飲酒後特別加重。本病任何年齡男女皆可發生,是咽喉科疾病中最常見的病症,在城市的發病率甚高,治療亦十分棘手,患者往往需要耐心接受長期的藥物治療。
173781次閱讀
